Quand j’ai débuté l’Aikido on entendait souvent cette petite phrase à propos de la technique ikkyo omote : "Pousse (le coude) vers l’oreille (d’uke) !". Et nous nous efforcions de respecter cette instruction sans trop comprendre pourquoi il fallait pousser vers l’oreille.
La raison est biomécanique : quand tori enroule le coude d’uke du bas vers le haut dans la direction de son oreille, c’est le dessous de l’avant-bras d’uke qui se présente à la saisie. La vidéo explique cela :
Dans cette situation, la main de la hanche avancée peut saisir la face inférieure du poignet, pendant que la main de la hanche arrière tient fermement l’arrière du coude, dans l’axe de la butée olécranienne (l’olécrane est l’extrémité supérieure du cubitus qui vient buter sur l’extrémité inférieure de l’humérus, limitant ainsi l’extension du bras). Quand l’avant-bras est ainsi saisi et retourné, il y a deux effets:
- L’épaule d’uke est projetée vers l’avant, et il est à cause de cela déséquilibré dans cette direction,
- La pression sur l’olécrane est optimale grâce au levier fourni par la rotation des deux hanches en complémentarité (levier qui est impossible à obtenir avec une mauvaise saisie).
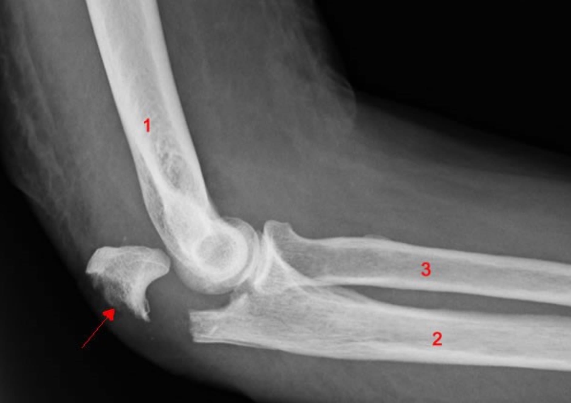
Si la technique ikkyo est alors appliquée martialement, le résultat ressemble à l’image ci-dessous. Il y a fracture de l’olécrane, éventuellement déplacement du radius (3) et du cubitus (2), voire fracture de l’humérus (1) :

Tout ça n’est pas très engageant, mais il faut bien comprendre que la technique ikkyo est faite pour cela, elle n’est pas faite pour amener gentiment un adversaire au sol. Si on amène uke au sol, c’est seulement parce qu’il n’est pas possible évidemment de briser le bras de son partenaire d’entraînement.
C’est donc une incompréhension totale de vouloir résister à ikkyo lors d’un entraînement, et de transformer ainsi la pratique en un test de force absurde. Deux de mes élèves se sont retrouvés dans cette situation, l’un d’eux a failli perdre à jamais l’usage de son bras qui a été sauvé seulement au terme de plusieurs opérations.
J’ai personnellement commis toutes les erreurs, celle-là entre autres. Un soir de l’été 1987 à Iwama, Maître Saito s’est mis en colère à cause de notre pratique à Steven Solomon et à moi-même. Nous nous entraînions précisément comme je viens d’expliquer, en bloquant mutuellement nos techniques de manière stérile et dangereuse… stupide. Maître Saito a demandé alors à Patricia Hendricks, qui était uchi deshi avec nous à cette époque, de traduire l’avertissement ci-dessous à l’attention de tous :

Steve et moi avons pris cette photo devant l’affiche toute neuve, en souvenir de ce moment… cette directive au fond, c’est grâce à nous qu’elle fut épinglée au mur du dojo n’est-ce pas? 🥴 Je suis amusé de voir qu’elle était toujours là longtemps après… et qu’on s’y réfère encore aujourd’hui :

On ne peut pas faire autrement que de pratiquer ikkyo de manière non traumatisante, c’est-à-dire sous la forme d’une immobilisation, et c’est bien ainsi. Mais il y a un problème : à force de s’entraîner exclusivement de cette façon, on finit par perdre de vue qu’ikkyo permet en réalité de projeter avec une grande puissance un adversaire sur un autre adversaire venant à 90°. Or cette connaissance est tout à fait essentielle pour comprendre en quoi le déplacement d’ikkyo omote respecte rigoureusement le principe de rotation irimi-tenkan de l’Aikido. Si cette connaissance fait défaut, on ne pourra jamais comprendre pourquoi à l’entraînement ikkyo ura respecte à l’évidence le principe irimi-tenkan, et pourquoi ikkyo omote semble au contraire ne pas le respecter.
Ce qui vient d’être dit ici reste du chinois aussi longtemps que n’est pas compris le déplacement unique de l’Aikido, et le fait que l’Aikido propose de la sorte une réponse unique à des situations différentes. Car réponse unique ne veut pas dire technique unique, il y a 10.000 techniques, mais le mouvement du corps est toujours identique à lui-même dans toutes les circonstances. Dans leur multiplicité, les techniques de l’Aikido naissent de cette origine commune, respectant en cela le modèle de l’univers où la multiplicité des êtres naît du Un, de la division du Un.
